Hip Hip Hooray for Ducky! Vol. 2
- Matt Schiffman
- Jan 1, 2023
- 6 min read
Updated: Mar 31, 2023
New year, new hip. #hiphiphoorayforDucky is back.
The initial installation of this series with Ducky’s background story and journey recovering from his Ducky’s Left Total Hip Replacement, can be found here.
__________________________________________________________________________________________________
On July 31st, 2019 my dog Ducky underwent a left total hip replacement to treat Hip Dysplasia. Hip Dysplasia (HD) is a multifactorial disease (has multiple etiologic causes including congenital and hereditary) where there is joint laxity and osteoarthritis in the coxofemoral (hip) joint - usually both left and right hip joints (bilateral). Typically, dogs with HD are diagnosed at a young age via radiographs. Clinical signs include exercise intolerance, limping, pain, difficulty rising, hip sway, and a "gallop-gait."
Ducky made a complete recovery from the procedure, and completed a 12 week post-operative rehabilitation program along with a series of x-rays at 6 weeks, 3 months, 6 months and 12 months post-op to track bone growth and implant stability. Since then, Ducky’s quality of life has dramatically improved. He has been able to run and play as much as he would like, and fetch toys without tiring or experiencing any pain.
Almost 3 years later to the day, I started to notice Ducky walking more slowly, swaying his hips as he walked, and quickly losing interest in playing with other pups. At times I would notice him turning to grab a toy while playing fetch, stop mid turn, and suddenly lose interest in playing.
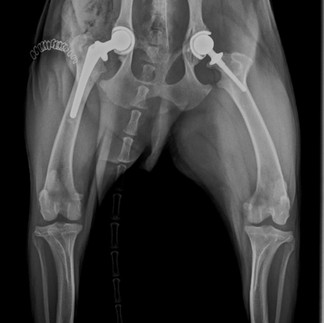
Every summer, we take x-rays of Ducky’s hips to not only evaluate the stability of his left hip implant, but also check for any further evidence of worsening arthritis due to Hip Dysplasia in his right hip. When comparing Ducky’s July 2022 x-rays to his July 2019 x-rays, not much has changed radiographically in his right hip (which is a good thing!), but Ducky has always been a bit of a special case. He never really showed severe clinical signs like his x-rays would suggest, which you can see below.

After some careful thought and planning this fall, we decided that we would pursue Ducky’s right total hip replacement right after the new year. This was not an easy decision for us to make, especially considering that Emily and I are planning our wedding for summer 2023. To be completely honest, I was hoping Ducky wouldn’t need his right total hip replacement procedure (even though he has bilateral hip dysplasia). Me and my optimistic personality were hoping that Ducky would maintain his great quality of life with just the one surgically repaired hip. But deep down, I knew he would likely need that second hip replacement sometime in the next couple years. Even when we did his first hip in 2019, I had expected to do his right hip replacement ~6 years old, (he’ll be 7 the April after the surgery). You’d think that expectation would’ve made me feel more prepared for this. Well, I’ve quickly learned that you’ll never be ready for your pet to undergo a surgery. Even more so a major surgery like a total hip replacement. It’s one of those things that even though I’ll never be ready for, I know my dog needs it. I am with him every day. I see how he behaves, how he walks with me, how he runs, and how he interacts with other pets. All of which suggest that he is ready. Heck, I believe Ducky is ready for this too. He knows we are preparing for this, and that he’s about to become a totally bionic dog!
Besides, he also knows he has to be feeling [and looking] his best to walk down the aisle at a very special wedding this August! :)

The Plan
Ducky’s surgical plan is more or less the same as it was for his first surgery. He will go through a 12 week rehabilitation program after surgery along with a series of x-rays at 6 weeks, 3 months, 6 months and 12 months to track healing. He will be on a strict exercise restriction and cage rest while immediately recovering, followed by a gradual return to activity by 12 weeks.
The two biggest differences between Ducky’s first and second hip replacements will be in the preoperative + planning phase:
Pre-surgical rehabilitation - Similar to humans going for prehabilitation prior to an ACL surgery, the same can be done for pets undergoing orthopedic procedures as well. Ducky will have 4 sessions of physical therapy 1 month prior to his surgery to build up muscle, strengthen his core, and improve proprioception. The goal of this is to help improve his overall postoperative recovery experience and shorten the recovery timeline.
Implant Selection - Ducky’s first total hip replacement was part of NorthStarVETS BFX Centerline Total Hip Replacement Clinical Trial, and a special implant was used during that surgery. Ducky’s surgical team at NorthStar is planning to use a more conventional implant for his right hip this time around since Ducky is a few years older (age is one of the considerations for use of the BFX centerline implant).
Throughout the process, from pre-surgical rehabilitation to 1 year post surgical examination, I plan to document and share Ducky's recovery process on my website and Instagram so we can follow along together with Ducky on his journey. Keep up with #HipHipHoorayforDucky for more updates and pictures!
Pre-Surgical Rehabilitation
Session 1 - December 20th 2022
Ducky had his initial pre-surgical rehabilitation consult today and his first pre-surgical rehab session! Today we focused on getting him reacclimated to the water treadmill and exercises he’ll be doing in the initial postoperative window including sit to stand, range of motion and laser therapy. We also did some proprioceptive work in assisted + elevated weight shifting and cavaletti rails.

Session 2- December 27th 2022
Ducky Christmas Week Special was his second rehab session, and he had so much fun! Today we challenged him with a longer session in the underwater treadmill, weaving in/out, and balancing on the bosu ball. Ducky found the bosu ball balancing a bit challenging, but he was up to the task and did a great job!

Session 3 - January 3rd 2023
Happy New Year! #NewYearNewHip. Today's rehab session included a light warmup with laser therapy and cavaletti rails, but the bulk of Ducky's work today was in the water. Not only did Ducky go in the underwater treadmill today (for a total of 17 minutes - woo!), but he also went swimming! At first, he was a bit nervous about the pool, after all it had jets pushing him the other way. With some guidance, support and some food + love motivation, Ducky quickly got used to it and did very well.
Session 4 - January 10th 2023
A variety pack of exercises today for Ducky's last rehab session. Started off with laser therapy, then proceeded to weight shifting exercises with the bosu ball, followed by cavalleti rails, and ending in the water. Ducky set a PR today with 19 minutes in the underwater treadmill - building up those muscles! Just in time for surgery next week.
Surgery Week
January 16th 2023
It's surgery day for Ducky! Dropped him off at Northstar VETS at 7:30am sharp ready to go!

January 17th 2023
Discharge day for Ducky, earlier than expected. What a gift!


Post-Op X-Rays
1 Week Post-Op
January 23rd 2023
Today marks 1 week from Ducky’s right total hip replacement. We’ve spent a few days and all evenings resting at home, while other days were spent recovering at work with me.
It’s been remarkable to see how far Ducky has already progressed in such short time. What excites me the most about his progress this week has been watching him accomplish the little things:
🤸♂️ Downward dog & full back leg extension stretches
🦮 Lifting his right leg all the way up to urinate (originally started as both legs on the ground earlier this week), and even once lifting up his left and putting all his weight on his right leg
🐾 Rolling over onto his back for belly rubs
🍽️ Sitting squarely and not sitting on his left hip with the surgically repaired right extended out, as he patiently waits for the “ok” to enjoy his breakfast and dinner
💧Weight bearing on his right leg very well as he smoothly rises from his bed to get a drink of water
One the most surprising parts about Ducky’s recovery this week has been his confidence…it’s through the roof! The man has even been a bit overconfident [and stubborn] at times.

2 Weeks Post-Op
January 30th 2023
2 weeks post-op, a big milestone for Ducky as we removed his staples today! The incision healed wonderfully and Ducky is doing fantastic. With his staples removed, we can now start physical therapy. Ducky will have his initial post op consult this week and start his exercises next week.
5 Weeks Post-Op
February 20th 2023
Ducky had his first and second rehab sessions these last two weeks. Check out some highlights of his program in the video below.










Dr. Matt,
Thank you so much for chronicling Ducky’s experiences with THR. Your posts have been invaluable to my family, as we have a 14 month old golden retriever with bilateral hip dysplasia. She is day +2 her left THR and is doing well. Her immediate postop x-rays looked good, although they did show that her right hip is now looser than it was upon initial x-ray back in June 2024. I reread your blog frequently for validation and for knowing that there are other families out there like mine. I’m so sorry to hear about the elbow dysplasia, but know that we are thinking about you. Thank you for posting and for the videos. They are good guide posts.…
Both of your posts are great! We're thinking about THR for our 135 lb lab and are a bit worried about the after care due to his size. We're working on decreasing his weight another 5-10 lbs to help, but he's just a large dog. How did you handle the immediate restriction of not being able to go out for walks with regard to getting him to go to the bathroom? Did you use a sling to help him walk?